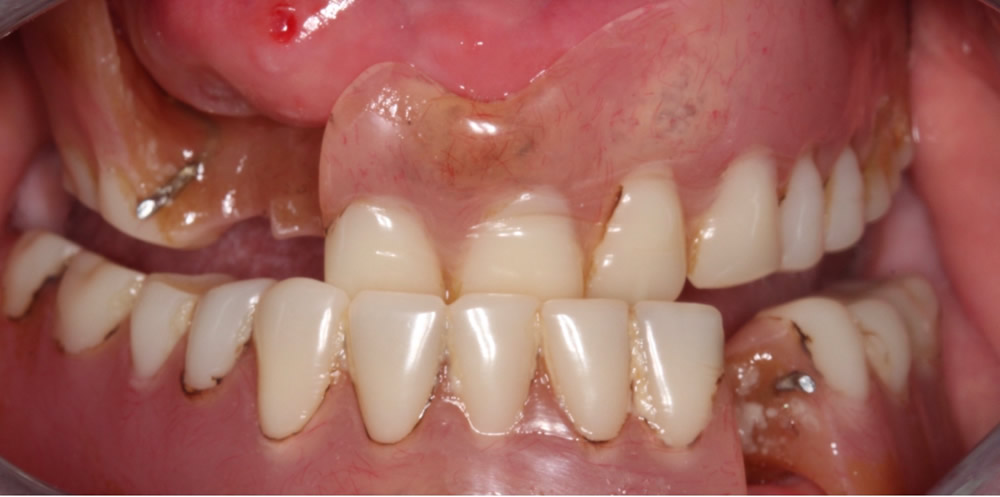
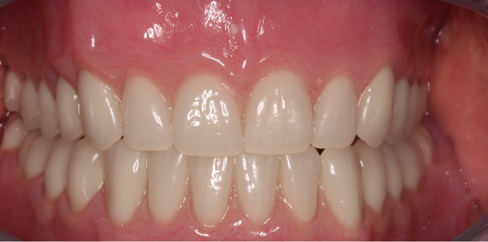
"Comfortable Dentures in Didcot"
Dentures are a removable form of tooth replacement. This means you can take them in and out of your mouth throughout the day and at night times. They can be used to replace any number of missing teeth, from a whole set of upper and lower teeth to a single tooth.
The denture will generally rely on forming a suction fit with your gums and sometimes clipping onto teeth to keep them in place throughout the day. Dentures can be made of a combination of acrylic and metal and your dentist will help guide you on deciding which option may be best for you.

At Didcot Dental Studios, we use the latest technology and techniques to make sure your tooth replacement looks as natural and feels as comfortable as possible.
Dental implants and bridges are usually the more favoured form of tooth replacement amongst patients; however, dentures do still have many advantages.
Without teeth it can be difficult to chew all foods comfortably and smile and talk confidently in social situations. Dentures allow an immediate improvement to these problems. As dentures rely primarily on a suction fit to the gums it means that they do not involve any irreversible damage to the adjacent healthy teeth.






After a comprehensive oral health examination your dentist will be able to guide you on which type of denture is best for you.